방치했다간 잇몸뼈 녹아내리는 치주염은 오랫동안 심한통증 없이 서서히 진행되고 한번 발생하면 잇몸을 되돌리기 어려우므로 치주염이 의심되면 가능한 빨리 치과 치료가 필요합니다.



1. 치주염
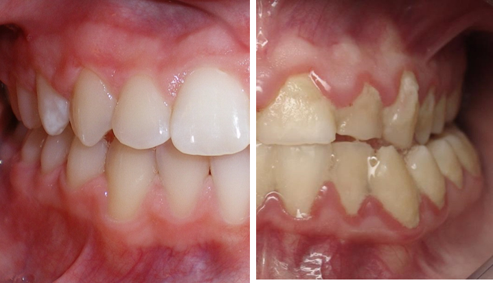
치주염은 잇몸 주위 조직인 치주의 염증으로 세균 감염으로 인해 발생하며 치아와 치주 사이의 구멍인 치아주머니에서 세균이 증식이 그 원인입니다. 치주염 초기는 경미한 염증으로 시작하지만, 치료하지 않으면 시간이 지나면서 치주 조직을 파괴하고 치아를 잃을 수도 있어 주의를 요합니다.
주요 증상은 잇몸의 붓기, 출혈, 통증, 민감도, 잇몸의 빨갛거나 푸르게 변하며 잇몸 주위에 연고나 고름이 생기기도 합니다. 이러한 증상이 발견된다면 가능한 빨리 치과 의사를 방문하여 진단과 치료가 필요합니다.
치주염의 주요 원인은 부정확한 구강 위생, 치아 주변의 치석 또는 플라크, 흡연, 스트레스, 유전적인 요인 등이며 일부 질환(당뇨병, 면역력 저하 등)이나 약물 복용도 치주염의 발생 위험을 증가시킵니다.
치주염은 치아 주변의 치석과 플라크 제거, 치아 주머니의 청소, 항생제 처방, 수술 등으로 치료가 가능하며 치주염의 예방을 위해서는 꾸준한 구강 위생 관리, 칫솔질과 치실 사용, 치과 정기 검진 및 클리닉 청소 등이 필요합니다. 치주염은 조기에 발견하고 치료를 받으면 예후가 좋으므로 잇몸의 이상 증상이 있다면 가능한 빨리 치과를 찾아가서 전문적인 치료를 받는 것이 매우 중요합니다.

2. 잇몸질환 증상
잇몸질환의 종류는 매우 다양하며 각각의 종류에 따라 증상 또한 다르게 나타납니다. 다음은 주요 잇몸질환 종류와 그에 따른 증상입니다.
2-1 치주염:
- 잇몸 붓기 및 출혈: 일반적으로 칫솔질이나 식사 후 잇몸에서 출혈이 발생합니다.
- 잇몸의 붉은 변화: 잇몸이 붉거나 발적하며 건강한 상태에서 벗어난 것을 나타냅니다.
- 잇몸 통증 또는 민감도: 잇몸이 통증을 일으키거나 민감해질 수 있습니다.
- 치아 주위에 고름 또는 연고: 치주염이 진행되면 치아 주머니에서 고름 또는 연고가 생길 수 있습니다.
2-2 치주강내염:
- 치아 주변 조직의 파괴: 치주강내염은 치주염의 진행 양상 중 하나로, 치주 조직의 파괴가 진행됩니다.
- 치아의 이동 또는 흔들림: 치주강내염이 심하게 진행되면 치아가 이동하거나 흔들릴 수 있습니다.
2-3 치주농양:
- 급성 잇몸염증: 치주농양은 급성 잇몸염증으로, 잇몸 주위에 감염이 생기고 농양이 형성됩니다.
- 통증과 부종: 감염으로 인해 잇몸 주위에 통증과 부종이 발생할 수 있습니다.
- 악취: 치주농양은 악취를 동반할 수 있습니다.
2-4 치주퇴행:
- 잇몸 조직의 손상: 치주퇴행은 잇몸 조직이 후퇴되어 치아의 노출이 증가하는 상태입니다.
- 치아 민감도: 잇몸이 후퇴되면 치아 노출로 인해 민감도가 증가할 수 있습니다.
2-5 치주종양:
- 잇몸의 이상 종양: 치주종양은 잇몸에 종양이 형성되는 상태로, 종양의 크기와 형태에 따라 다양한 증상이 나타날 수 있습니다.
3. 잇몸질환 원인
잇몸질환의 주요 원인은 다음과 같은 요인이 원인일 수 있습니다.
3-1 부정확한 구강위생:
- 부족한 칫솔질: 부정확하거나 부족한 칫솔질은 치아와 잇몸 사이에 치아치주 결합부에 치아치주 염증이 발생할 수 있습니다.
- 칫솔 교체 주기: 칫솔을 적절한 주기로 교체하지 않으면 치아와 잇몸을 충분히 청결하게 유지하기 어려워질 수 있습니다.
3-2 치아와 치주 사이의 치아치주 결합부의 치실 사용 부족:
- 치아치주 결합부에는 치아 사이에 먹이나 세균이 쌓여 치주염이 발생할 수 있습니다. 치아치주 결합부를 청결하게 유지하기 위해 치실 사용이 중요합니다.
3-3 기생충 감염:
- 기생충에 감염된 구강 위생 상태는 잇몸질환을 유발할 수 있습니다. 특히 치주염과 관련된 기생충 감염은 치주염의 주요 원인 중 하나입니다.
3-4. 흡연:
- 담배를 피우는 경우 담배 연기에 함유된 독성 물질이 잇몸 조직을 손상시키고 염증을 유발할 수 있습니다.
3-5. 유전적 요인:
- 일부 사람들은 유전적인 요인으로 인해 잇몸질환에 더 취약할 수 있습니다. 유전적인 잇몸질환은 개인의 면역 체계와 관련이 있을 수 있습니다.
3-6. 합병증:
- 일부 질환(예: 당뇨병)은 잇몸건강에 영향을 미칠 수 있습니다. 이러한 질환은 잇몸질환의 발생 가능성을 증가시킬 수 있습니다.
잇몸질환의 정확한 원인은 매우 복합적이며 개인마다 다르므로 개인의 구강 위생 상태와 일상 습관을 개선하고, 정기적인 치과 검진과 전문가의 조언을 받는 것이 중요합니다.
'사회 & 트렌드 탐구 > 일상 & 문화 이야기' 카테고리의 다른 글
| 100세처럼 아침 식사하기: 블루존 장수촌이 선택한 최고의 아침 식품 6가지 (1) | 2025.10.06 |
|---|---|
| 🏥 의사가 20년 연구 끝에 찾은 필수 영양제 4가지 (0) | 2025.10.06 |
| 시니어들의 새로운 핫플레이스 (0) | 2025.10.03 |
| 밀크씨슬과 간 건강 밀크씨슬 제품 선택시 고려할 점 (5) | 2024.03.03 |
| 어깨 통증, 원인, 증상, 운동, 치료방법 (0) | 2024.01.30 |